°í¾çÀÌ Áø·á½Ç
ÀϹݳ»°ú
ºô¸®ºêµ¿¹°º´¿øÀÇ °í¾çÀÌ Áø·á°ú¿¡¼´Â ½ÉÀå, È£Èí±â, ¼Òȱâ, °£´ãµµ°è, ºñ´¢±â, ÇǺÎ, ³»ºÐºñ°è Áúȯ ¹× ±× ¿Ü °¨¿°¼º ÁúȯÀ» Áø´ÜÇϰí Ä¡·áÇϱâ À§ÇÑ ÀǷἺñ½º ȯ°æÀ» °®Ãß°í ÀÖ½À´Ï´Ù. º´¿ø¿¡ ³»¿øÇÏ´Â ¸ðµç °í¾çÀ̵éÀº °í¾çÀÌ Ä£ÈÀûÀÎ ¹æ½ÄÀ¸·Î º¸»ìÇ˰ú Ä¡·á¸¦ ¹Þ°Ô µÇ¸ç, º¸È£Àںеé°ú ÇùÁ¶ÇÏ¿© °í¾çÀÌ¿¡°Ô ÃÖ¼±ÀÇ Ä¡·á°¡ ÀÌ·ç¾îÁú ¼ö ÀÖµµ·Ï ³ë·ÂÇϰí ÀÖ½À´Ï´Ù.
°í¾çÀÌÈ£Èí±âÁúȯ
ºñ°, ºÎºñµ¿, ÀÎ/ÈĵΠÂÊ¿¡ ¿°ÁõÀÌ »ý±â´Â »óºÎÈ£Èí±âÁúȯÀÇ °æ¿ì Àçä±â, Ä๰, °ÅÄ£ ¼û¼Ò¸®, °á¸·¿° µîÀÇ Áõ»óÀÌ ³ªÅ¸³¯ ¼ö ÀÖ°í, ±â°üÁö³ª Æó¿¡ ¿°ÁõÀÌ »ý±â´Â ÇϺÎÈ£Èí±âÁúȯÀÇ °æ¿ì È£Èí ÀÌ»ó, ±âħ µîÀÇ Áõ»óÀÌ ³ªÅ¸³¯ ¼ö ÀÖ½À´Ï´Ù.
°¡º¿î Áõ»óÀÇ °æ¿ì Áõ»óÀ» ¿ÏÈÇÒ ÀÖ´Â ¾à¹° Ä¡·á¸¦ ¿ì¼±Çϰí, Áõ»óÀÌ Àß ³´Áö ¾Ê°Å³ª ½É°¢ÇÒ °æ¿ì¿¡´Â ¿øÀÎ °¨º°À» À§ÇØ ¹æ»ç¼±, È£Èí±â PCR °Ë»ç, ±â°ü¼¼Ã´ °Ë»ç µîÀ» ÇØº¼ ¼ö ÀÖ½À´Ï´Ù.
ÀϹÝÀûÀ¸·Î ¾à¹°Ä¡·á¿Í ºÐ¹«(ÈíÀÔ)Ä¡·á¸¦ º´ÇàÇÏ°Ô µÇ¸ç, Áõ»óÀÌ ½ÉÇÏ¿© ½Ä¿åÀ̳ª ±â·Â ÀúÇÏ, ½Å°æ Áõ»ó µîÀÌ ³ªÅ¸³ª´Â °æ¿ì¿¡´Â ÀÔ¿ø Ä¡·á¸¦ ÇÕ´Ï´Ù.


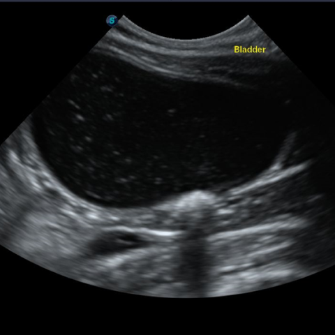
°í¾çÀÌ ºñ´¢±â°è Áúȯ
±âº»ÀûÀ¸·Î ¿µ»ó °Ë»ç(¹æ»ç¼± °Ë»ç, ÃÊÀ½ÆÄ °Ë»ç)¿Í ¿ä°Ë»ç·Î ¹æ±¤ÀÇ Æó»ö ¿©ºÎ, ¿°Áõ, °á¼®, ¼¼±Õ °¨¿° ¿©ºÎ¸¦ ÆÇ´ÜÇϰí, ³ë·ÉÀ̰ųª Áõ»óÀÌ ½ÉÇÒ °æ¿ì ½ÅÀå ¼öÄ¡¿Í ÀüÇØÁú ¼öÄ¡ µîÀ» üũÇϱâ À§ÇÑ Ç÷¾×°Ë»ç°¡ ÇÊ¿äÇÒ ¼ö ÀÖ½À´Ï´Ù.
¸¸¾à °í¾çÀ̰¡ 24½Ã°£ ÀÌ»ó ¼Òº¯ÀÌ ¾ø°í, º¹ºÎ¸¦ ¸¸Á®º¸¾ÒÀ» ¶§ ¹æ±¤ÀÌ ÆØÃ¢µÇ¾î ÀÖ´Â °ÍÀÌ ´À²¸Áö¸é ¿äµµ Æó»ö »óÅÂÀÏ °¡´É¼ºÀÌ ³ôÀ¸¹Ç·Î ÃÖ´ëÇÑ ºü¸¥ ½Ã°£ ³»·Î º´¿øÀ» ¹æ¹®ÇÏ¿©¾ß ÇÕ´Ï´Ù. Ç÷´¢¶ó°í ÇØµµ ¼Ò·® ¾¿ÀÌ¶óµµ ¼Òº¯À» º¸°í ÀÖ´Ù¸é ÀÀ±Þ »óȲÀº ¾Æ´Õ´Ï´Ù. ÇÏÁö¸¸ Ç÷´¢´Â ºñ´¢±â°èÀÇ ½É°¢ÇÑ ¹®Á¦°¡ ÀÖÀ½À» ÀǹÌÇϹǷΠº´¿ø¿¡¼ Á¤È®ÇÑ »óŸ¦ È®ÀÎÇØ¾ß ÇÕ´Ï´Ù.
¹æ±¤¿°ÀÇ °æ¿ì ȯ¹¦ÀÇ »óŰ¡ ¾ÈÁ¤ÀûÀ̶ó¸é ¾à¹°À» ó¹æ ¹ÞÀº µÚ Åë¿ø Ä¡·á°¡ °¡´ÉÇÕ´Ï´Ù. ÇÏÁö¸¸ ¿äµµ Æó»öÀ¸·Î ÀÎÇØ ¿äµµ Ä«Å×Å͸¦ ÀåÂøÇØ¾ß Çϰųª ½ÅÀå ¼öÄ¡°¡ ¿À¸¥ ½ÅºÎÀü »óÅÂ, ¶Ç´Â °á¼®À» Á¦°ÅÇϱâ À§ÇØ ¼ö¼ú µî ¿Ü°úÀûÀΠóġ°¡ ÇÊ¿äÇÏ´Ù¸é ÀÔ¿ø Ä¡·á¸¦ ÇØ¾ß ÇÕ´Ï´Ù.


°í¾çÀÌ ¼¼µ¿ÀÌ¿°(Triaditis)
°í¾çÀÌ¿¡°Ô¼ ²Ï ÈçÇÏÁö¸¸ Áø´ÜÀÌ ³ª¿ÔÀ» ¶§ º¸È£ÀںеéÀÌ ¸¹ÀÌ »ý¼ÒÇØ ÇϽô ÁúȯÀä, °£´ÜÈ÷ ¸»ÇØ ´ã°ü°£¿°, ÃéÀå¿°, Àå¿°(¿°Áõ¼ºÀåÁúȯ)ÀÌ µ¿½Ã¿¡ ¹ß»ýÇÏ°Ô µÈ »óÅÂÀÔ´Ï´Ù. ±¸Åä, ¼³»ç, ±â·Â ¹× ½Ä¿åÀúÇÏ °°Àº Áõ»óÀÌ ³ªÅ¸³ª°í ½ÉÇÑ °æ¿ì Ȳ´Þ°ú ºóÇ÷±îÁö ³ªÅ¸³¯ ¼ö ÀÖ´Â ÁßÁõ ÁúȯÀä, °í¾çÀÌ´Â ³»ºÎ Àå±âÀÇ ÇØºÎÇÐÀû ±¸Á¶ »ó ´ã°ü°ú ÃéÀå°üÀÌ ½ÊÀÌÁöÀå¿¡¼ ÇÕÃÄÁö°Ô µÇ´Âµ¥, ÀÌ·Î ÀÎÇØ °£À̳ª ÃéÀå, ¼ÒÀå ¾î´À ÇÑ °÷¿¡ ¿°ÁõÀÌ »ý°Üµµ °¡±î¿î ÁÖº¯ Àå±â¿¡±îÁö ÀÌȯ µÇ¾î Àü½ÅÀûÀÎ ÁúȯÀ» ÀÏÀ¸Å°°Ô µË´Ï´Ù.
º¸Åë ±¸Åä, ¼³»ç, ±â·Â ¹× ½Ä¿åÀúÇÏ »óÅ·Π³»¿øÇÏ¿© °£ºÎÀü, Ȳ´Þ, ºóÇ÷±îÁö È®ÀεǴ °æ¿ì°¡ ¸¹Àºµ¥, ÀÌ·± »óÅ¿¡¼´Â ÀÏÁ¤ ±â°£ ÀÌ»ó ÀÔ¿ø ÈÄ ¼ö¾×°ú ¾à¹° Ä¡·á°¡ ÇÊ¿äÇÕ´Ï´Ù. Áõ»óÀÌ °³¼±µÇÁö ¾Ê°í Ȳ´Þ°ú ºóÇ÷ÀÌ ¾Ç鵃 °æ¿ì »ç¸Á¿¡±îÁö À̸¦ ¼ö Àֱ⠶§¹®¿¡ °¡´ÉÇÑÇÑ ºü¸¥ ½ÃÀϳ»¿¡ °ø°ÝÀûÀÎ Ä¡·á¸¦ ÇØ¾ß ÇÕ´Ï´Ù.
¸ðµç ÁúȯÀÌ ±×·¸°ÚÁö¸¸, ¼¼µ¿ÀÌ¿°µµ Ãʱ⿡ ÀûÀýÇÑ Ä¡·á¸¦ ¹Þ´Â´Ù¸é ÃæºÐÈ÷ ȸº¹µÉ ¼ö ÀÖ½À´Ï´Ù. ÇÏÁö¸¸ ÁúȯÀÌ ÀÌ¹Ì ¸¹ÀÌ ÁøÇàµÈ ÈÄ¿¡ Ä¡·á¸¦ ½ÃÀÛÇϰųª, Á¦´ë·Î µÈ Ä¡·á°¡ ÀÌ·ç¾îÁöÁö ¾Ê´Â´Ù¸é ¾à¹°¿¡ ´ëÇÑ Ä¡·á ¹ÝÀÀÀÌ ¶³¾îÁú ¼ö¹Û¿¡ ¾ø½À´Ï´Ù. µû¶ó¼ ÀÌ Áúȯ¿¡ ´ëÇØ °æÇèÀÌ ¸¹Àº ÀÇ·áÁø°ú ÃæºÐÈ÷ »óÀÇÇϸç Ä¡·áÇÏ½Ã±æ ±ÇÀ¯ µå¸³´Ï´Ù.


°í¾çÀÌÀü¿°¼ºº¹¸·¿°
(Feline Infectious Peritonitis)
°í¾çÀÌÀü¿°¼ºº¹¸·¿°Àº °í¾çÀÌÄڷγª¹ÙÀÌ·¯½º°¡ ¿øÀÎü·Î, °í¾çÀÌ Ã¼³»¿¡ Àẹ »óÅ¿´´ø Äڷγª¹ÙÀÌ·¯½º°¡ ¸Íµ¶¼ºÀ» °¡Áø ¹ÙÀÌ·¯½º·Î º¯À̵Ǿî Àü½Å Àå±â¿¡ ¿°ÁõÀ» ÀÏÀ¸Å°°í, ºóÇ÷, Ȳ´Þ, Èä¼ö, º¹¼ö, ½Å°æ Áõ»óÀ» ÀÏÀ¸Å°´Â Àü¿°¼º ÁúȯÀÔ´Ï´Ù. Àü¿°¼ºº¹¸·¿°Àº ÀÓ»ó Áõ»ó, Ç÷¾× °Ë»ç, Èä/º¹¼ö PCR °Ë»ç, ¹æ»ç¼±, ÃÊÀ½ÆÄ, CT¸¦ ºñ·ÔÇÑ ¿µ»ó °Ë»ç °á°ú¸¦ Á¾ÇÕÀûÀ¸·Î ÆÇ´ÜÇÏ¿© Áø´ÜÇÏ°Ô µË´Ï´Ù. ÀÏ´Ü È®ÁøÀÌ µÇ¸é Ç×¹ÙÀÌ·¯½ºÁ¦¸¦ Åõ¿©ÇÏ´Â °Í¸¸ÀÌ À¯ÀÏÇÑ Ä¡·á ¹æ¹ýÀÔ´Ï´Ù.
±¹³»¿Ü ´Ù¼öÀÇ ¿¬±¸ °á°ú¸¦ ÅëÇØ ÃʱâÀÇ Àü¿°¼ºº¹¸·¿°ÀÇ °æ¿ì Ç×¹ÙÀÌ·¯½ºÁ¦¸¦ Åõ¿©ÇÏ¿´À» ¶§ Ä¡·á È¿°ú°¡ ¸Å¿ì ¶Ù¾î³ °ÍÀ¸·Î ¹àÇôÁö°í ÀÖ½À´Ï´Ù. ´Ù¸¸, Áúȯ ¸»±â¿¡ À̸£·¯ ½Å°æ Áõ»óÀÌ µ¿¹ÝµÈ »óÅÂÀ̰ųª, ȯ¹¦°¡ ±âÀú ÁúȯÀÌ ÀÖ´Â °æ¿ì, ³ë·É¹¦ÀÇ °æ¿ì¿¡´Â Ç×¹ÙÀÌ·¯½ºÁ¦ Åõ¿© ½Ã Ä¡·á ¹ÝÀÀÀÌ ÁÁÁö ¾ÊÀº ÆíÀÔ´Ï´Ù.
½É°¢ÇÑ ºóÇ÷·Î ¼öÇ÷ÀÌ ÇÊ¿äÇϰųª ½Ä¿å ÀýÆó, ±â·Â ÀúÇÏ µîÀ¸·Î ¼ö¾× óġ°¡ ÇÊ¿äÇÑ »óȲÀ̸é ȯ¹¦ÀÇ »óŸ¦ ¾ÈÁ¤½Ã۱â À§ÇØ ÀÔ¿ø Ä¡·áÇØ¾ß ÇÒ ¼öµµ ÀÖ½À´Ï´Ù. ±×·¯³ª ³¸¼± ȯ°æÀÌ ÁÖ´Â ½ºÆ®·¹½º°¡ ÁúȯÀ» ´õ ¾ÇȽÃų ¼ö ÀÖ¾î °¡´ÉÇϸé Åë¿ø Ä¡·á¸¦ ±ÇÀ¯ µå¸³´Ï´Ù.