°í¾çÀÌ Áø·á½Ç
½ÅºÎÀü
°í¾çÀÌ »ç¸Á ¿øÀÎ Áß °¡Àå ³ôÀº ºñÀ²À» Â÷ÁöÇÏ´Â ±Þ/¸¸¼º ½ÅÀå ÁúȯÀÇ °æ¿ì ÃʱâÀÇ Àû±ØÀûÀÎ Ä¡·á¿Í °ü¸®°¡ °í¾çÀÌÀÇ ³²Àº »îÀÇ Áú°ú ¼ö¸íÀ» Á¿ìÇÏ°Ô µË´Ï´Ù. ±×¸¸Å Á¶±â Áø´ÜÀÌ Áß¿äÇϸç, °³°³ÀÎÀÇ °í¾çÀÌÀÇ °Ç° »óÅÂ¿Í ¼ºÇâ, »ýȰ ¹æ½Ä¿¡ ¸ÂÃá Â÷º°ÈµÇ°í ¼¼½ÉÇÏ°Ô °í¾ÈµÈ Ä¡·á ¹æ¹ýÀÌ ¿ä±¸µË´Ï´Ù. ºô¸®ºêµ¿¹°º´¿ø¿¡¼´Â °í¾çÀÌ ½ÅºÎÀüÀÇ »õ·Î¿î Ä¡·á ¹× °ü¸®, ÇÕº´Áõ Ä¡·á, »îÀÇ Áú °³¼±À» À§ÇÑ Á¤º¸¸¦ ¾ò°í ¿¬±¸Çϴµ¥ ³ë·ÂÀ» °ÔÀ»¸®ÇÏÁö ¾Ê°í ÀÖÀ¸¸ç, ´Ù¼öÀÇ ¸»±â ½ÅºÎÀü ȯÀÚµéÀ» Àå±â°£ ¼º°øÀûÀ¸·Î °ü¸®ÇÑ ³ëÇϿ츦 °¡Áö°í ÀÖ½À´Ï´Ù.
±Þ¼º½ÅºÎÀü(AKI, Acute Kidney Injury)
Áßµ¶, ¿äµµ Æó»ö, ¿ä°ü °á¼® µîµî ±âÀúÁúȯÀ¸·Î ÀÎÇØ ÀϽÃÀûÀ¸·Î ½ÅÀåÀÇ ±â´ÉÀÌ ¼Õ»óµÈ »óÅÂÀÔ´Ï´Ù. ±âÀú ÁúȯÀÌ ÇØ°áµÇ¾î ½ÅÀå ¼öÄ¡°¡ ´Ù½Ã ȸº¹µÉ ¼ö ÀÖ´Ù´Â Á¡¿¡¼ ¸¸¼º ½ÅºÎÀü°ú ±¸ºÐµË´Ï´Ù.
ÀÏ´Ü °Ë»ç¸¦ ÅëÇØ ½ÅºÎÀüÀÌ È®ÀÎµÇ¸é °ø°ÝÀûÀÎ ¼ö¾×°ú ¾à¹° Ä¡·á¸¦ ½ÃÀÛÇϴµ¥, Ä¡·á ÈÄ ½ÅÀå ¼öÄ¡¿Í ȯ¹¦ÀÇ »óŰ¡ ¾î´À Á¤µµ ¾ÈÁ¤µÇ¸é ±Þ¼º ½ÅºÎÀüÀ¸·Î Áø´ÜÇÏ°Ô µË´Ï´Ù. ¹°·Ð ±Þ¼º ½ÅºÎÀü ÈÄ¿¡ ½ÅÀå ±â´ÉÀÌ ¿ÏÀüÈ÷ ȸº¹µÇÁö ¾Ê°í ³²Àº »ý¾Ö µ¿¾È °è¼ÓÀûÀ¸·Î Ä¡·á°¡ ÇÊ¿äÇÏ´Ù¸é ÀÌ´Â ¸¸¼º ½ÅºÎÀüÀ¸·Î ºÐ·ùµË´Ï´Ù. º¸Åë ºñ±³Àû ÀþÀº ¿¬·ÉÀÇ °í¾çÀ̰¡ ½ÅºÎÀüÀÇ ¿øÀÎÀÌ µÈ ±âÀúÁúȯÀÌ ÇØ°áµÉ ¼ö ÀÖ´Ù¸é ½ÅºÎÀü ÀÌÀüÀÇ »óÅ·Πµ¹¾Æ°¥ ¼ö ÀÖ½À´Ï´Ù.
¸¸¼º ½ÅºÎÀü(CKD, Chronic Kidney Disease)
¸¸¼º ½ÅºÎÀüÀº Ç÷¾×°Ë»ç·Î Creatinine°ú SDMA¶ó´Â ½ÅÀå ¹ÙÀÌ¿À¸¶Ä¿¸¦ ÃøÁ¤ÇÔÀ¸·Î½á Áø´ÜÀÌ °¡´ÉÇϸç, ±¹Á¦½ÅÀåÇÐȸ(International Renal Interest Society)¿¡¼ Á¦½ÃÇÏ´Â °¡À̵å¶óÀο¡ µû¶ó ÃÑ 4´Ü°è·Î ºÐ·ùµË´Ï´Ù. ±Þ¼º ½ÅºÎÀüÀ¸·Î Áø´Ü ÈÄ 3°³¿ù ÀÌ»ó ¼öÄ¡°¡ °³¼±µÇÁö ¾ÊÀ¸¸é ¸¸¼º ½ÅºÎÀüÀ¸·Î ºÐ·ùµÇ°Ô µË´Ï´Ù.
³ë·É¹¦ÀÇ °æ¿ì ½ÅÀå ±â´ÉÀÌ ¶³¾îÁö¸é¼ ½ÅºÎÀü Áø´ÜÀ» ¹Þ´Â °æ¿ì°¡ ¸¹Àºµ¥, ÀÌ °æ¿ì¿¡´Â Ä¡·á¸¦ ÅëÇØ ½ÅÀå ¼Õ»óÀ» ¿ÏÀüÈ÷ ȸº¹½Ãų ¼ö´Â ¾øÁö¸¸ ÀÓ»ó Áõ»óÀ» ¿ÏÈÇϰí ÀÏ»ó »ýȰÀ» °¡´ÉÇϵµ·Ï ÀûÀýÇÑ À¯Áö °ü¸®¸¦ ÇÏ´Â µ¥ ¸ñÀûÀ» µÎ°í Ä¡·áÇÏ°Ô µË´Ï´Ù. µû¶ó¼ Ä¡·á ¹æ¹ý ¶ÇÇÑ ½ÅÀå ¼öÄ¡¸¦ Á¤»óÀ¸·Î µÇµ¹¸®´Â °ÍÀÌ ¾Æ´Ñ, ±¸Å䳪 ¼³»ç, ½Ä¿å°ú ±â·Â ÀúÇÏ µîÀÇ ÀÓ»ó Áõ»óÀº ¿ÏȽÃ۴µ¥ ÃÊÁ¡À» µÎ°Ô µË´Ï´Ù. °í¾çÀÌ¿¡°Ô ³²Àº ½Ã°£ÀÌ ±æÁö ¾Ê´õ¶óµµ »ì¾Æ ÀÖ´Â µ¿¾È »îÀÇ ÁúÀ» ³ô¿©ÁÙ ¼ö ÀÖµµ·Ï °í¾çÀÌÀÇ °Ç° »óÅÂ¿Í ¶óÀÌÇÁ½ºÅ¸ÀÏ, º¸È£ÀÚÀÇ ¿©°Ç¿¡ µû¶ó ¸ÂÃãÈµÈ Ä¡·á ¹æ¹ýÀÌ Á¦½ÃµÉ ¼ö ÀÖ½À´Ï´Ù.

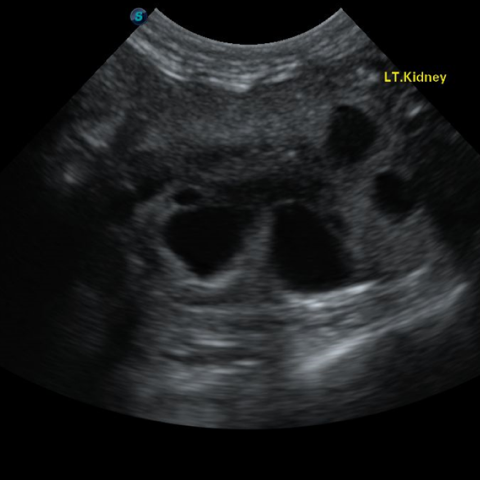
´Ù³¶¼º½ÅÀ庴
(PKD, Polycystic Kidney Disease)(Triaditis)
´Ù³¶¼º½ÅÀ庴À̶õ, ½ÅÀå¿¡ ´Ù¼öÀÇ ³¶Á¾ÀÌ ¹ß»ýÇϰí ÀÌ·Î ÀÎÇØ ½ÅÀå ±â´ÉÀÌ ÀúÇÏµÇ¸é¼ ¼¼È÷ ¸¸¼º ½ÅºÎÀüÀ¸·Î ÁøÇàµÇ´Â ÁúȯÀÔ´Ï´Ù. ÁÖ·Î Æä¸£½Ã¾È, È÷¸»¶ó¾á °°Àº ´ÜµÎÁ¾ °í¾çÀ̵鿡°Ô¼ ³ªÅ¸³ª´Â À¯Àüº´ÀÇ ÇϳªÀ̸ç, ´Ù³¶¼º½ÅÀåÀ» °¡Áø °í¾çÀ̵éÀº Æò±Õ 4¼¼¿¡ ÀÌ¹Ì ½ÅÀå ±â´ÉÀÌ ¼Õ»óµÇ±â ½ÃÀÛÇÑ´Ù°í º¸°íµÇ°í ÀÖ½À´Ï´Ù. µû¶ó¼ ÀÌ·¯ÇÑ Á¾·ùÀÇ °í¾çÀ̵éÀÇ °æ¿ì ºñ±³Àû ¾î¸° ¿¬·ÉºÎÅÍ Áö¼ÓÀûÀ¸·Î ½ÅÀå ±â´ÉÀ» ¸ð´ÏÅ͸µ ÇÏ´Â °ÍÀÌ ÇÊ¿äÇÕ´Ï´Ù. ¶ÇÇÑ ½ÅÀå »Ó ¾Æ´Ï¶ó ÁÖº¯ Àå±âÀÎ ºñÀå, °£, ÃéÀå¿¡µµ ³¶Á¾ÀÌ »ý±â¸é¼ À̵é Àå±âµµ ¹®Á¦°¡ µÉ ¼ö ÀÖÀ¸¹Ç·Î Á¤±âÀûÀÎ °Ç°°ËÁøÀ» ÅëÇØ °í¾çÀÌÀÇ °Ç° »óŸ¦ È®ÀÎÇÏ´Â °ÍÀÌ ÁÁ½À´Ï´Ù.
