³»°ú Áø·á½Ç
È£¸£¸ó Áúȯ
È£¸£¸óÀº ¸öÀÇ ¹°Áú ´ë»ç¿Í »ý½Ä, ¼¼Æ÷ Áõ½Ä¿¡ °ü¿©ÇÏ¿© »ý¸®ÀÛ¿ëÀ» Á¶ÀýÇÏ´Â ¿ªÇÒÀ» ÇÕ´Ï´Ù. ºÎÁ·Çϰųª °úÇÏ°Ô ºÐºñ µÇ¸é Àü½ÅÀûÀÎ ¹®Á¦°¡ ÀϾ´Ï´Ù. °ü¸®µÇÁö ¾ÊÀ¸¸é ¿©·¯ Àå±â¿¡ ´Ù¾çÇÑ ÇÕº´ÁõÀ» ÀÏÀ¸Å³ ¼ö ÀÖÀ¸¹Ç·Î Á¤È®ÇÑ Áø´Ü°ú ÀûÀýÇÑ °ü¸®°¡ ¸Å¿ì Áß¿äÇÕ´Ï´Ù.
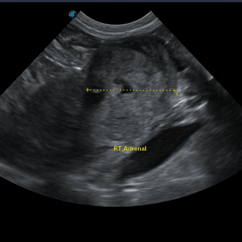
ºÎ½Å¿¡¼ È£¸£¸óÀÌ °úµµÇÏ°Ô ºÐºñµÇ¸é ÇǺÎÁúȯ, °íÇ÷¾Ð, Ç÷ÀüÁõ, µî ½É°¢ÇÑ ÇÕº´ÁõÀ» ÀÏÀ¸Åµ´Ï´Ù. È£¸£¸óÀÌ Àû°Ô ºÐºñµÇ¸é ½ºÆ®·¹½º »óȲ¿¡¼ ÀúÇ÷´ç, ¼Òȱâ ÁúȯÀÌ ³ªÅ¸³³´Ï´Ù.
°©»ó»ùÀº ½Åü ´ë»çÀÇ ±ÕÇüÀ» À¯ÁöÇÕ´Ï´Ù. °úµµÇÏ°Ô ºÐºñµÉ °æ¿ì ¼Òȱâ Áúȯ, üÁß °¨¼Ò, ´Ù½ÄÁõÀÌ »ý±â°í, ºÎÁ·ÇÒ °æ¿ì ÇǺο°, üÁßÁõ°¡, °íÁöÇ÷ÁõÀÌ ³ªÅ¸³¯ ¼ö ÀÖ½À´Ï´Ù.
ÃéÀå±â´É ÀÌ»óÀ¸·Î ´ç´¢º´ÀÌ ¹ßº´ÇÏ¸é °¨¿°, °íÇ÷¾Ð, ½ÅºÎÀüµîÀÇ ½É°¢ÇÑ ÇÕº´ÁõÀÌ »ý±æ ¼ö ÀÖ½À´Ï´Ù.
Ç÷¾×°Ë»ç, ¹æ»ç¼± °Ë»ç, ¿ä°Ë»ç µîÀ» ÅëÇØ ¹®Á¦°¡ Áø´ÜµÇ¸é °¢ È£¸£¸ó ÁúȯÀ» È®ÁøÇÒ ¼ö ÀÖ´Â Á¤¹Ð °Ë»ç¸¦ ÁøÇàÇÕ´Ï´Ù.
´ÙÀ½, ´Ù´¢ ´Ù½ÄÁõÀÌ ÀÇ½ÉµÉ ¶§, Å»¸ð, ¸¸¼º ÇǺκ´, ÀÌÀ¯ ¾øÀÌ Ã¼ÁßÀÌ Áõ°¡Çϰųª °¨¼ÒÇÒ ¶§, Áß³âÀ̻󿡼 °Ç°°ËÁø ½Ã È£¸£¸ó °Ë»ç¸¦ ÁøÇàÇÕ´Ï´Ù.

Á¤»ó ÁÂÃø ºÎ½Å

¿ìÃø ºÎ½Å ºñ´ë